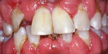
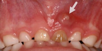
Periodontal Disease: Causes, Symptoms, Diagnosis and Treatment Options
Introduction: More Than Just Gums Periodontal disease, often silently progressing beneath the gum line, is a chronic inflammatory condition that affects the supporting structures of.
Read moreDetails




