
Periodontal Disease: Causes, Symptoms, Diagnosis and Treatment Options
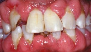
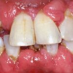
Introduction: More Than Just Gums Periodontal disease, often silently progressing beneath the gum line, is a chronic inflammatory condition that affects the supporting structures of your teeth—the gums, periodontal ligament, and alveolar bone. It is






