Oral thrush, also known as oral candidiasis, is a common fungal infection that affects millions of people every year. According to the Centers for Disease Control and Prevention (CDC), Candida species are present in the mouths of up to 75% of the population, but overgrowth occurs in about 5–7% of infants, up to 20% of cancer patients, and nearly 10% of elderly individuals. Oral thrust remains one of the most frequently diagnosed oral infections worldwide.
What Is Oral Thrush?
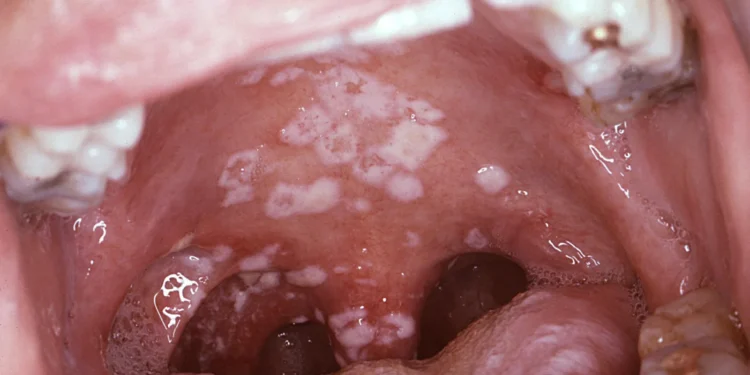
Oral thrush is an infection caused by an overgrowth of Candida fungi, most commonly Candida albicans. Candida normally lives harmlessly in the mouth, throat, gut, and skin, but when the balance is disrupted, it can multiply rapidly and cause infection, according to the Mayo Clinic.
The infection appears as creamy white lesions on the tongue, inner cheeks, roof of the mouth, gums, or tonsils. These patches may look like cottage cheese and can bleed slightly if scraped. While usually mild in healthy people, it can become severe and spread in those with weakened immune systems.
Food Poisoning: Symptoms, Prevention, and Treatments
The Cleveland Clinic describes oral thrush as a non-contagious condition that primarily affects infants, older adults, and immunocompromised individuals.
Causes and Risk Factors of Oral Thrush
The main cause of Oral Thrush is an overgrowth of Candida albicans, but several factors trigger this imbalance, for instance:
- Weakened Immune System
- HIV/AIDS, cancer chemotherapy, organ transplantation CDC reports up to 90% of HIV patients develop oral thrush at some point
- Diabetes (high blood sugar feeds yeast) NCBI StatPearls notes uncontrolled diabetes increases risk 2–3 times
- Medications
- Corticosteroids (inhaled or systemic)
- Broad-spectrum antibiotics (kill beneficial bacteria that keep Candida in check)
- Immunosuppressants
- Age-Related Factors
- Newborn babies (immature immune systems)
- Denture wearers (especially poorly fitting or unclean dentures) Mayo Clinic: up to 65% of denture wearers may develop thrush
- Lifestyle and Medical Factors
- Dry mouth (xerostomia) from medications, Sjögren’s syndrome, or radiation
- Smoking
- High-sugar diets
- Pregnancy (hormonal changes)
Canker Sores: Causes, Symptoms, Diagnosis, and Treatment Options
Symptoms of Oral Thrush
Symptoms range from mild to severe depending on immunity and age.
Classic Signs (Mayo Clinic)
- Creamy white or yellow patches on tongue, inner cheeks, gums, tonsils, or roof of mouth
- Slightly raised lesions with a cottage-cheese appearance
- Mild bleeding if lesions are scraped
- Burning sensation or soreness in the mouth
- Cotton-like feeling in the mouth
- Loss of taste or unpleasant taste
- Redness or cracking at the corners of the mouth (angular cheilitis)
In Infants and Breastfeeding Mothers
- White patches inside baby’s cheeks or on tongue
- Fussiness and irritability during feeding
- Diaper rash caused by the same yeast
- Mothers may experience shiny, red, cracked nipples and stabbing breast pain, explains CDC.
Severe Cases (Immunocompromised Patients)
- Difficulty swallowing (if infection spreads to esophagus)
- Fever (if systemic spread occurs)
Diagnosis of Oral Thrush
Most cases of Oral Thrush are diagnosed clinically, but confirmation may be needed.
- Clinical Examination: Dentists or doctors can usually diagnose by appearance alone.
- Microscopic Examination & Culture: Scrapings from lesions are examined under a microscope with potassium hydroxide (KOH) prep to reveal yeast cells and hyphae. Culture on Sabouraud agar confirms Candida species.
- Biopsy (Rare Cases): Performed when lesions don’t respond to treatment or look atypical.
- Endoscopy: If esophageal involvement is suspected (common in HIV patients).
Treatment Options
Treatment of Oral Thrush depends on age, severity, and underlying health conditions. Below are the treatment options for Oral Thrush
- Antifungal Medications (First-Line)
For Mild to Moderate Cases
- Nystatin suspension – swish and swallow 4–6 times daily (safe for infants)
- Clotrimazole troches – dissolve in mouth 5 times daily
- Miconazole oral gel (Daktarin) – popular in many countries
For Moderate to Severe or Resistant Cases
- Fluconazole (Diflucan) – oral tablet, once daily for 7–14 days (most common systemic treatment)
- Itraconazole or Posaconazole – for fluconazole-resistant strains
- Amphotericin B oral suspension or IV – for severe, refractory cases
- Home Remedies & Adjunctive Care
- Gently brush lesions with a soft toothbrush
- Rinse with saltwater or baking soda solution
- Probiotics (Lactobacillus) may help restore oral flora
- Avoid sugar and yeast-containing foods during treatment
Fibromyalgia: Causes, Symptoms, and Treatments
- Treating Infants and Breastfeeding Mothers
- Nystatin suspension for baby (applied to lesions with a cotton swab)
- Mother treats nipples with antifungal cream (miconazole or nystatin)
- Sterilize pacifiers, bottle nipples, and breast pump parts
- Denture Wearers
- Remove dentures at night
- Clean dentures daily with antifungal solution
- Soak in chlorhexidine or nystatin overnight
- Addressing Underlying Conditions
- Control blood sugar in diabetics
- Reduce or change inhaled steroids (use spacer, rinse mouth after use)
- Treat dry mouth with saliva substitutes
Prevention of Oral Thrush
Oral thrush prevention is easier than treatment:
- Practice excellent oral hygiene – brush twice daily, floss, use antimicrobial mouthwash
- Clean dentures thoroughly and remove at night
- Rinse mouth after using inhaled corticosteroids
- Control blood sugar if diabetic
- Limit sugar and refined carbs
- Replace toothbrush after thrush resolves
- Regular dental check-ups
Complications if Left Untreated
In healthy people, thrush usually resolves easily. In immunocompromised patients, it can spread to the esophagus, lungs, liver, or bloodstream (invasive candidiasis), which has a mortality rate of up to 40%.
Fatty Liver Disease: Causes, Symptoms, and Treatments
Glossitis: Causes, Symptoms, Diagnosis, and Treatment Options
Epilepsy: Symptoms, Causes, Types of Seizures, and Treatment Options

