Dental abscesses are a common yet serious oral health issue that can lead to severe pain and complications if left untreated. Dental infections like abscesses remain a leading cause of emergency dental visits, affecting millions worldwide. According to the World Health Organization, untreated oral diseases impact over 3.5 billion people globally, with abscesses contributing significantly to this burden due to poor dental hygiene and delayed care. In the United States, the Centers for Disease Control and Prevention (CDC) reports that about 1 in 5 adults experience untreated tooth decay, a primary precursor to abscesses.
What Is a Dental Abscess?
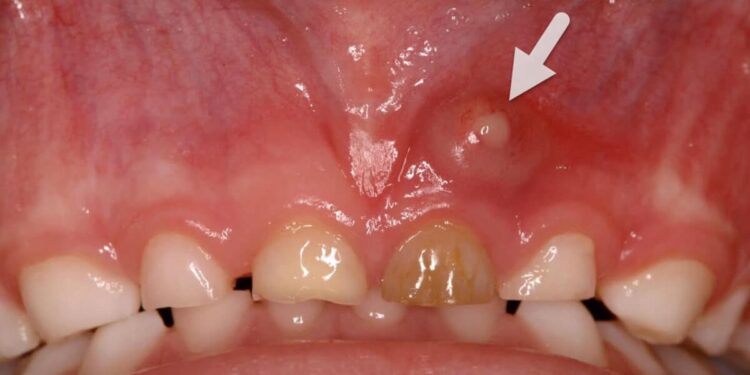
A dental abscess, also known as a tooth abscess, is a localized collection of pus caused by a bacterial infection in or around the tooth. According to the Mayo Clinic, it is essentially a pocket of pus that forms due to bacterial invasion, typically in the dental pulp, the innermost part of the tooth containing nerves, blood vessels, and connective tissue.
There are two main types:
- Periapical Abscess: Occurs at the tip of the tooth root, often from untreated cavities or trauma that allows bacteria to reach the pulp.
- Periodontal (Gum) Abscess: Develops in the gums next to the tooth root, usually linked to gum disease.
Oral Thrush: Causes, Symptoms, Diagnosis & Treatment Options
The Cleveland Clinic describes an abscess as a red, swollen bump, boil, or pimple-like formation in the gums, resulting from the body’s immune response to trap and fight the infection. If not addressed, the infection can spread beyond the mouth, leading to systemic issues.
Dental abscesses are more than just a dental problem, they can affect overall health. They arise mainly from oropharyngeal bacteria entering through enamel breakdowns, emphasizing their infectious nature.
Causes of Dental Abscess
The root cause of a dental abscess is bacterial infection, but several factors pave the way for bacteria to thrive and invade. According to the Mayo Clinic, bacteria enter the dental pulp through deep cavities, chips, or cracks in the tooth, spreading to the root and causing inflammation. This invasion triggers the body’s response, forming pus as white blood cells fight the infection.
Key causes include:
- Tooth Decay (Caries): Poor dental hygiene leads to plaque buildup, where bacteria like Streptococcus mitis produce acids that erode enamel. Untreated cavities allow bacteria to reach the pulp.
- Trauma or Injury: A broken, chipped, or cracked tooth exposes the pulp to bacteria, even without visible damage.
- Failed Dental Procedures: Previous root canals or fillings can fail, allowing reinfection.
- Gum Disease (Periodontitis): Inflammation and pockets in the gums trap bacteria, leading to periodontal abscesses.
- Partially Erupted Teeth: Wisdom teeth often trap food and bacteria, increasing risk.
- Medical Conditions: Dry mouth (xerostomia) from medications, aging, or conditions like Sjogren’s syndrome reduces saliva’s protective effects. Weakened immunity from HIV, chemotherapy, or diabetes heightens susceptibility.
- Lifestyle Factors: Smoking doubles the risk, while high-sugar diets feed bacteria. Chemical irritants like methamphetamine also contribute.
Food Poisoning: Symptoms, Prevention, and Treatments
The pathophysiology involves bacteria compressing the dentine walls, causing pain, then tracking through the root into the jawbone. Understanding these causes is crucial for prevention, as many are linked to modifiable habits.
Risk Factors for Developing a Dental Abscess
Certain individuals are more prone to dental abscesses. People with poor dental habits like not brushing twice daily or flossing are at a top risk, as poor dental habits lead to decay and gum disease. A high-sugar diet exacerbates this by promoting cavities.
Other risk factors include:
- Smoking or tobacco use, which impairs healing and increases bacterial growth.
- Dry mouth, common in older adults or those on medications.
- Weakened immune system from chronic illnesses or treatments.
- Genetic factors, such as imperfect enamel formation.
- Mechanical issues like tooth grinding (bruxism).
People with poor oral hygiene or recent dental trauma are at higher risk.
Symptoms of Dental Abscess
Symptoms can range from mild discomfort to severe pain, often worsening without treatment. Severe, constant throbbing toothache that radiates to the jaw, neck, or ear is a hallmark sign. Pain intensifies with hot/cold temperatures or chewing.
Common symptoms include:
- Swelling in the face, cheek, or neck, potentially causing difficulty breathing or swallowing.
- Tender, swollen lymph nodes.
- Fever and general malaise.
- Bad breath (halitosis) or foul taste.
- Redness and swelling in the gums.
- Sensitivity to pressure or touch.
- Loose tooth or open sore on the gums.
If the abscess ruptures, there is a sudden rush of foul-tasting fluid and temporary pain relief, but infection, gnawing or shooting pain, bitter taste, and jaw swelling persist.
Canker Sores: Causes, Symptoms, Diagnosis, and Treatment Options
Diagnosis of Dental Abscess
Diagnosis starts with a clinical exam. Dentists tap teeth to check sensitivity and examine for swelling or drainage. X-rays confirm the abscess and assess spread.
Dental Abscess Diagnosis Methods include:
- Physical Exam: Checking for pain, swelling, and lymph nodes.
- Dental X-Rays: To visualize root infection or bone loss.
- CT Scan: For neck involvement or spread.
- Thermal Tests: To evaluate pulp vitality.
- Blood Tests: CBC for infection markers.
MRI or advanced imaging may be used for complications. Early diagnosis prevents escalation.
Treatment Options for Dental Abscess
Treatment focuses on eliminating infection, draining pus, and saving the tooth if possible. Treatment can be surgical or non-surgical..
Non-Surgical Treatments
- Incision and Drainage: A small cut releases pus, followed by saline rinse; a drain may be placed.
- Antibiotics: Prescribed if infection spreads or immunity is low. Medications like amoxicillin-clavulanate or penicillin G, plus metronidazole is recommended. For allergies, you can use clindamycin.
Surgical Treatments
- Root Canal: Drills out infected pulp, drains abscess, fills and seals the tooth; often topped with a crown, per Cleveland Clinic.
- Tooth Extraction: If unsalvageable.
- Advanced Surgery: For severe cases, hospital admission with IV antibiotics like piperacillin-tazobactam.
Pain management includes over-the-counter meds like ibuprofen. Healing takes days, with sensitivity common post-treatment.
Fibromyalgia: Causes, Symptoms, and Treatments
Recent emerging options like laser-assisted drainage reduce recovery time, though standard care remains drainage and antibiotics.
Prevention Strategies for Dental Abscess
Prevention is key. Brushing twice daily with fluoride toothpaste, flossing, and limiting sugar is key prevention strategy. Drink fluoridated water and use antiseptic rinses.
Tips:
- Regular dental checkups every 6 months.
- Address chips or cracks promptly.
- Quit smoking and manage dry mouth.
- Healthy diet low in sweets.
Complications if Left Untreated
Untreated abscesses will not heal alone. Mayo Clinic warns of spread to jaw, sinuses, or body, causing sepsis. Risks like mediastinitis (40% mortality), airway compromise, endocarditis, meningitis or brain infection may also result from complications.
Dental abscesses are preventable with good hygiene but require prompt treatment to avoid complications.
Fatty Liver Disease: Causes, Symptoms, and Treatments
Glossitis: Causes, Symptoms, Diagnosis, and Treatment Options
Epilepsy: Symptoms, Causes, Types of Seizures, and Treatment Options

